Horários de Atendimento: Seg - Sex : 08:00 - 18:00

CRO-GO 4734

O Dr. Flavio Augusto (CRO-GO 4734) é graduado pela Universidade Federal de Goiás (1996), pós graduado, especialista em endodontia e implantodontia.

Realiza Atendimentos odontológicos em pacientes que necessitam do restabelecimento de uma saúde bucal plena, para pacientes que apresentam ansiedade diante de procedimentos odontológicos, com suporte especializado.

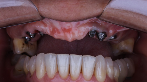
Entenda os

Implantes Dentários

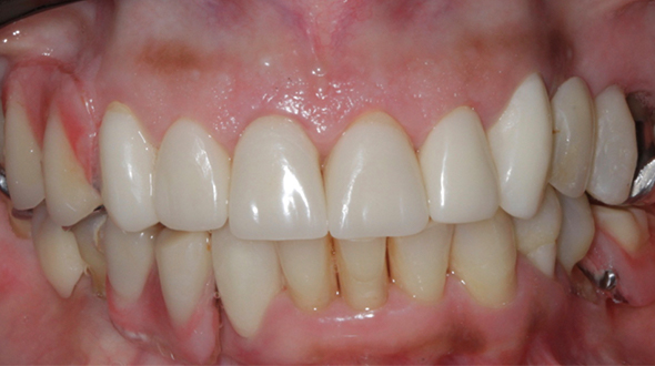
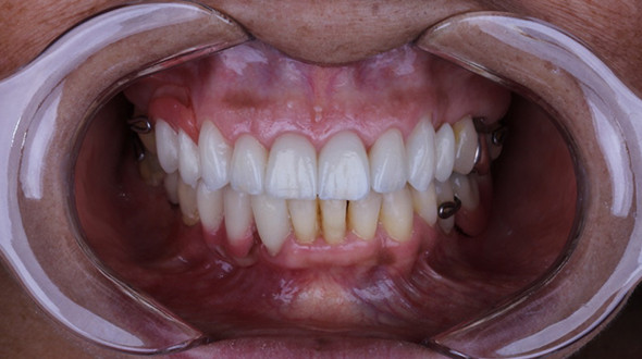
Conheça nossos

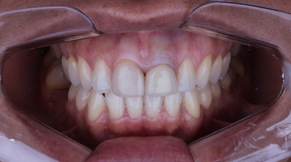
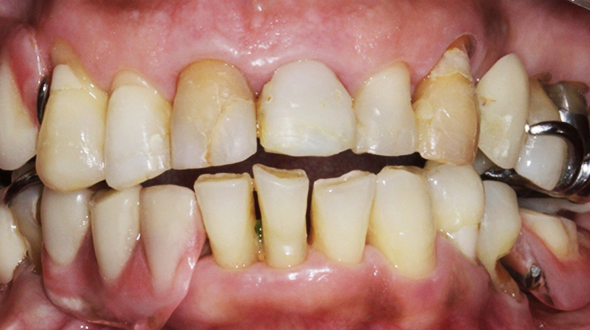
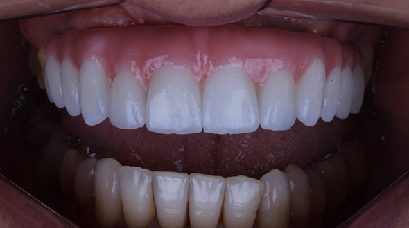
Cases de Sucesso